Rakovinu prsu ovlivňuje faktor, který je často přehlížen
Genetika, obezita, alkohol, to jsou všechno faktory, které riziko rakoviny prsu zvyšují a ženy si je velmi dobře uvědomují. Existuje ale jedna věc, kterou si mnoho lidí s vyšším výskytem rakoviny prsu primárně nespojuje a to je hustota prsní tkáně.
O rakovině prsu se v poslední době právem hovoří stále víe, protože jde stále o nejčastější závažné nádorové onemocnění u žen v ČR. V případě včasného odhalení je ale velice dobře léčitelná a existuje mnoho preventivních programů, včetně pravidelného mamografického vyšetření a možnost jednoduše odhalit případnou genetickou predispozici, která může být až u 8 % pacientek příčinou vzniku rakoviny prsu. Genetické vyšeření je v indikovaných případech rovněž hrazeno ze zdravotního pojištění.
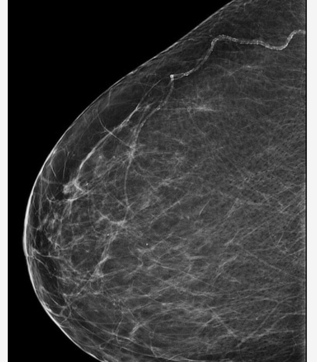
Jak ukázal nový výzkum, většina žen si je vědoma různých rizikových faktorů. Mezi ně patří onemocnění rakovinou prsu v rodině, nástup menopauzy či první menstruace před 11. rokem, alkohol, stres, obezita, nevhodná strava, žádné nebo pozdní těhotenství i prodělaná biopsie prsu, hormonální léčby či ozařování. Existuje ale jeden neméně závažný rizikový faktor, který podle výsledků studie drtivá většina žen opomíjí. A tím je hustota prsní tkáně.
O tom, že hustá prsní tkáň může představovat o 1,2 až 4 % vyšší riziko rozvoje rakoviny prsu, vědělo jen 6 z 61 dotazovaných žen. Většinu z nich na to, že mají vysoký podíl husté prsní tkáně, přitom upozorňovali lékaři během mamografu. Čím je totiž hustota prsní tkáně větší, tím je navíc obtížnější na mamografickém snímku zhoubný nádor či jiné změny objevit.
Vysoká denzita prsní tkáně (nebo též mamografická denzita) představuje zvýšené riziko vzniku rakoviny prsu; podle výsledků dalšího výzkumu však pacientkám s rakovinou prsu, které mají vysokou mamografickou denzitu, nehrozí zvýšené riziko úmrtí na toto onemocnění. Výsledky výzkumu, který vedla dr. Gretchen L. Gierachová z amerického Národního onkologického ústavu (National Cancer Institute, NCI) a který se uskutečnil ve spolupráci s odborníky z Breast Cancer Surveillance Consortium (BCSC), byly publikovány v odborném časopise Journal of the National Cancer Institute.